人流AI识别
已于青岛2024年啤酒节首次使用。。。通过实时视频对人流进行识别、、区域范围内排队人数进行识别,,以及上下车人数进行识别,,,用于大调度和实时调度提供辅助决策支持。。。。
查看详情
已于青岛2024年啤酒节首次使用。。。通过实时视频对人流进行识别、、区域范围内排队人数进行识别,,以及上下车人数进行识别,,,用于大调度和实时调度提供辅助决策支持。。。。
查看详情应用于公交车、、工程车辆,,,通过车载机tbox实时获取车辆定位、、、车速、、、油耗、、、发动机转速以及故障等信息,,,,实时上传到云平台。。。。识别驾驶员行为,,用于监测车辆状况和驾驶员有无违规行为。。。。结合业务系统对作业、、车辆和人员进行全方位管控。。
查看详情已成功应用于公交集团,,,,并成为省市级大数据应用典范,,通过AI算法,,,,结合调度、、、、区间时段电价、、、以及电池性能生命周期,,智能安排车辆充电时间、、对应充电枪以及充电电量,,,在满足业务需求的同时,,,达到电费最省。。。。
查看详情利用AI视觉技术实现生产环境下疑似违规行为的识别告警,,,,提供通用场景算法以及专用需求算法的智能分析。。
查看详情已应用于某汽车集团企业,,,,通过AI算法,,,,智能进行仓库选址,,并进行运输路线优化,,通过算法和系统降低运输和运营成本。。
查看详情利用算法及AI,,集PC端以及可移动一体机和PDA终端,,,结合信息技术,,,,助力设备装备维修保养。。。
查看详情利用AI视觉识别对零部件缺陷进行检测。。。。
查看详情使用AI排产排版算法,,通过选择订单产品,,,,根据零部件大小、、、剪裁要求以及订单数量自动智能生成排版图纸。。图纸在不借助AutoCAD等第三方软件的前提下,,,支持在线排版图纸预览、、、导出图片、、、、导出CAD格式的dxf和dwg以及导出pdf。。。。
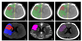
查看详情已应用于西医医疗设备医疗诊断和中医诊断,,,为诊疗提供辅助决策支持。。。。
查看详情已应用于发票、、、、票据、、、血压、、、、水电燃气等仪表数据的数字、、字母、、、中文、、、、日文的OCR识别。。。
查看详情利用AI对电池进行自动化设计,,同时对电池设计进行AI分析,,,,生成设计和性能分析报告。。
查看详情已应用于多家公交集团,,包括流程管理、、、安全管理、、调度系统、、、票务管理、、、、OA管理、、服务管理、、、、机务管理、、物资管理、、人资管理、、运营管理、、汽修管理等公交几乎全部功能。。。
查看详情